عيادة نور تيارت


مركز التشخيص والتصوير الطبي

خدماتنا

تعتز عيادة نور بتقديم باقة متكاملة من الخدمات الطبية المبتكرة، مما يضمن تحقيق أعلى معايير الرعاية الصحية بأعلى مستوى من الجودة والاحترافية.


اشعة طبية بأحدث التقنيات

تحاليل طبية بيولوجية

تشخيصات طبية (طب استعجالي. طب عام. طب داخلي. طب امراض القلب والشرايين)

رعاية المرضى التي تساعد على تحسين نتائج العلاج وتسريع عملية الشفاء.


كما توفر العيادة أيضًا خدمة التنقل التي تشمل إجراء الفحوصات المنزلية وتقديم مختلف الخدمات الطبية


  • irm
    Radiologie

    IRM 1.5 dernière génération

    Imagerie haute précision pour un diagnostic détaillé des tissus et organes.

  • scanner
    Radiologie

    Scanner 32 coupes avec AIDR3

    Scanner avancé offrant des images claires avec une réduction optimisée des doses.

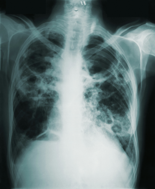
  • radiographie
    Radiologie

    Radiographie standard numérique

    Examen rapide et précis pour l’analyse des structures osseuses et pulmonaires.

  • télémétrie médicale
    Cardiologie

    Télémétrie numérique

    Surveillance continue du rythme cardiaque pour détecter d’éventuelles anomalies.

  • mammographie et tomosnthèse
    Radiologie

    Mammographie numérique et tomosynthèse

    Dépistage et diagnostic précis des pathologies mammaires.

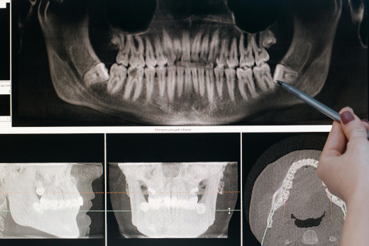
  • panoramique dentaire
    Radiologie

    Panoramique dentaire numérique

    Imagerie complète pour l’évaluation de la santé bucco-dentaire.

  • échographie générale et spécialisée
    Radiologie

    Échographie générale et spécialisée

    Examen indolore pour visualiser les organes en temps réel.

  • doppler vasculaire
    Cardiologie

    Doppler vasculaire

    Analyse des vaisseaux sanguins pour détecter d’éventuelles anomalies circulatoires.

  • cytoponction et biopsie
    Biologie

    Cytoponction et biopsie

    Prélèvements précis pour un diagnostic rapide et fiable des tissus.

  • analyses médicales
    Biologie

    Analyses Médicales

    Examens biologiques variés pour une prise en charge complète.

    Possibilité de faire le prélèvement à domicile.

  • consultation
    Diagnostic

    Consultations

    Accompagnement médical personnalisé pour votre santé et votre bien-être.

    Possibilité de faire une consultation à domicile.

FR